down arrow down arrow

Case 4 – Dental Implants

LEARN MORE

Case 5 – Dental Implants

LEARN MORE

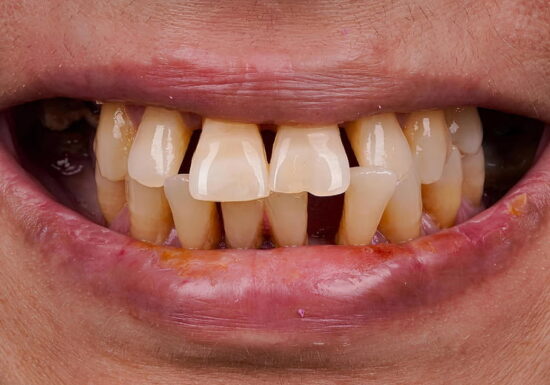
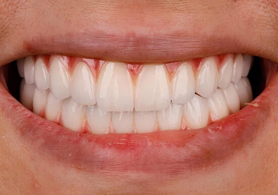
Case 1 – Crowns

LEARN MORE

Dental Treatment Finder™

down arrow down arrow

SCHEDULE YOUR CONSULTATION TODAY

Book Consultation

Get In Touch

Google Rating
3.5
Google Rating
Google-review